top of page
Bioclear Black Triangle Closure | Maspeth Queens Dentist
Bioclear Black Triangle Closure Smile Transformation
Bioclear Black Triangle Closure Smile Transformation
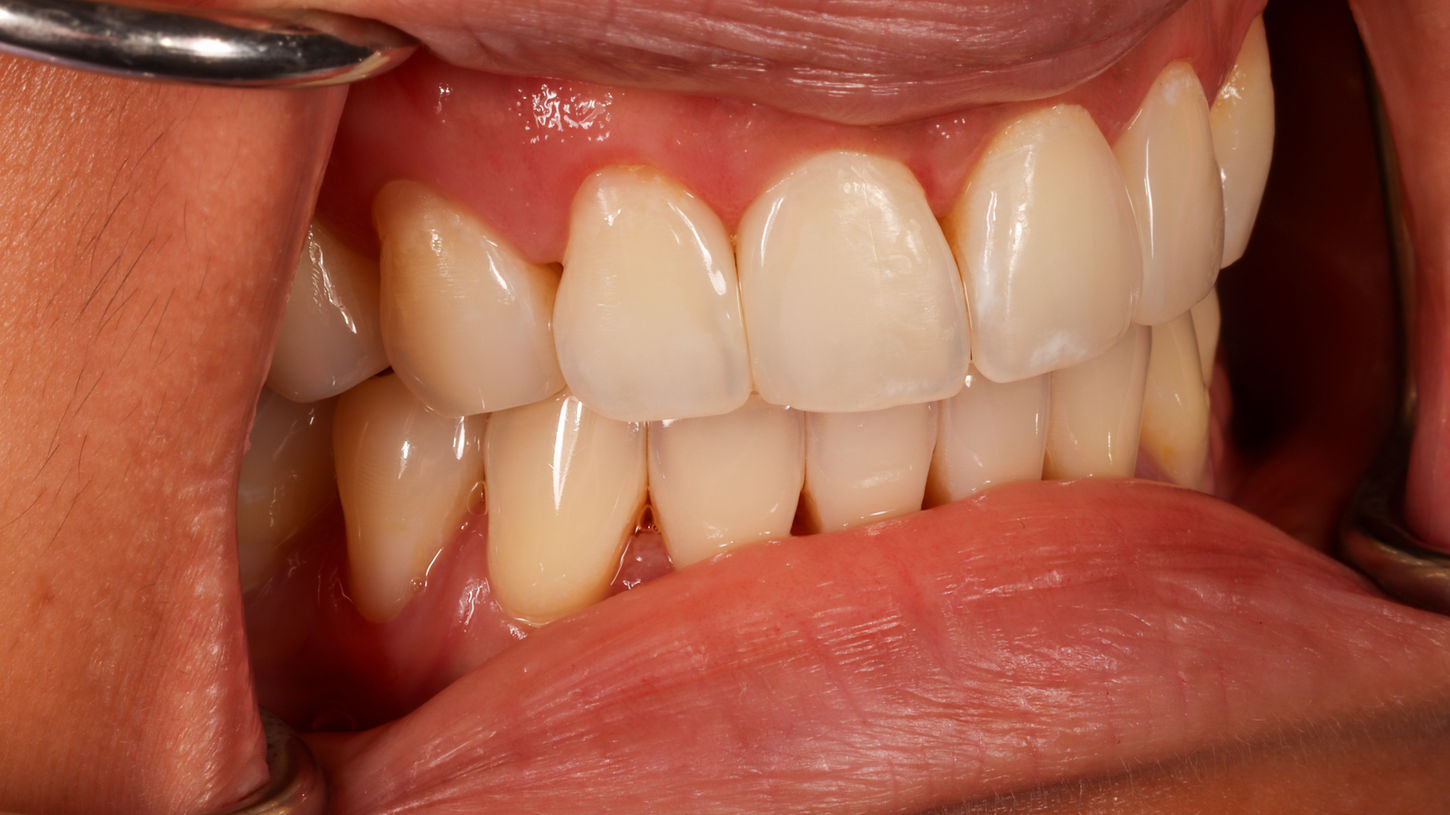
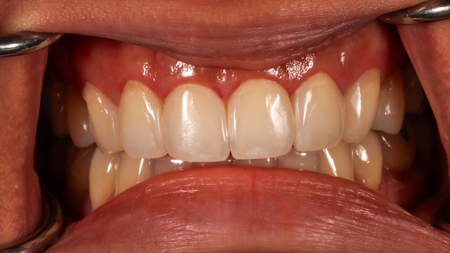
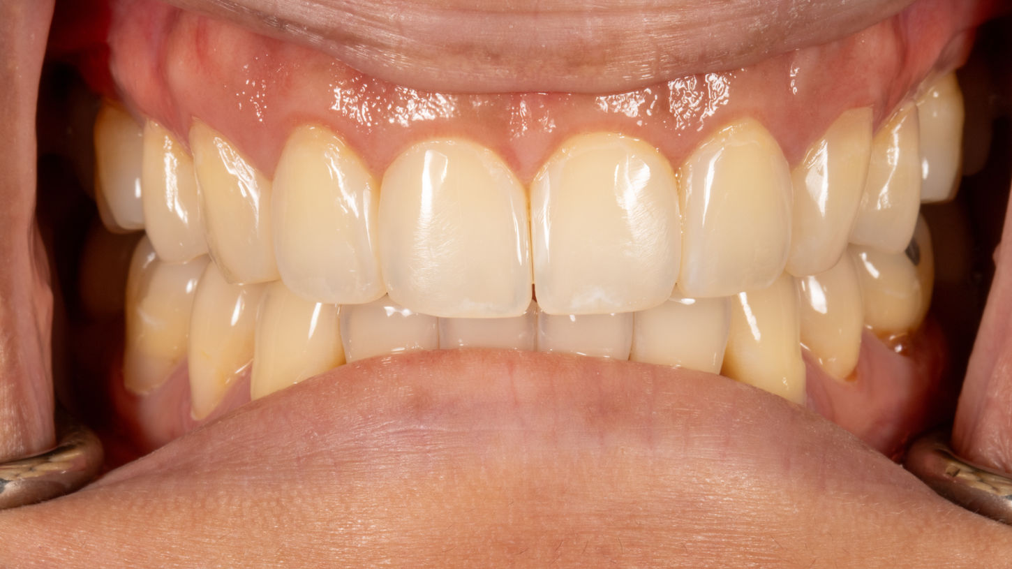
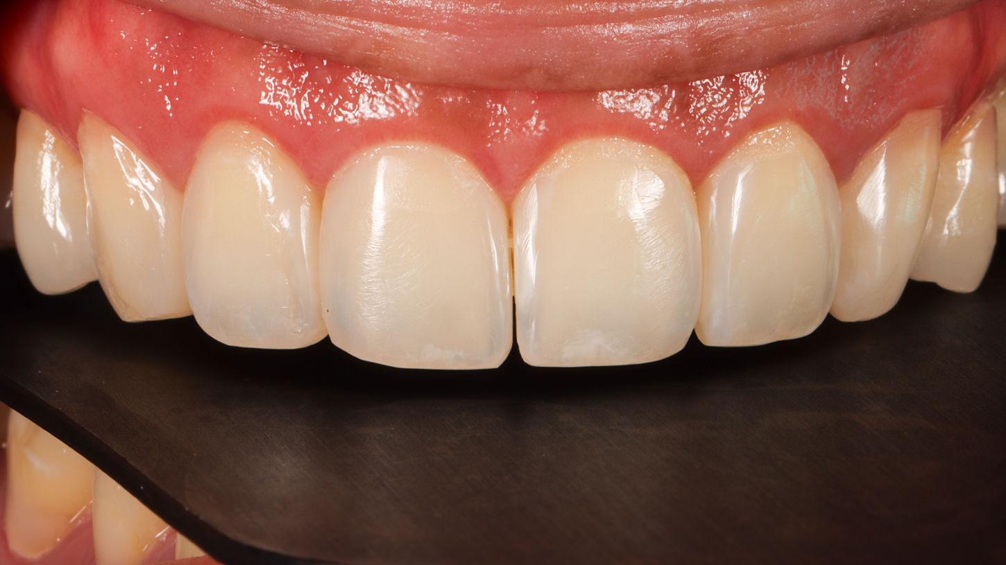
Minimally invasive treatment using Bioclear techniques to close black triangles and improve smile esthetics.


Black triangles between teeth can make a smile appear less full and more uneven. This case uses a minimally invasive Bioclear technique to close black triangles, improve emergence profile, and create a more continuous smile line.
1. What are black triangles between teeth? They are open spaces near the gumline between adjacent teeth. 2. What is Bioclear treatment? It is an additive composite technique used to improve shape and close spaces. 3. Is Bioclear conservative? Yes, it is commonly used as a minimally invasive option.
bottom of page














