Composite Bonding Veneers for Discolored Teeth | Maspeth Queens
Composite Bonding Veneers for Discolored Front Teeth
Composite Bonding Veneers for Discolored Front Teeth
Conservative veneer-style bonding used to improve the color and appearance of discolored front teeth.


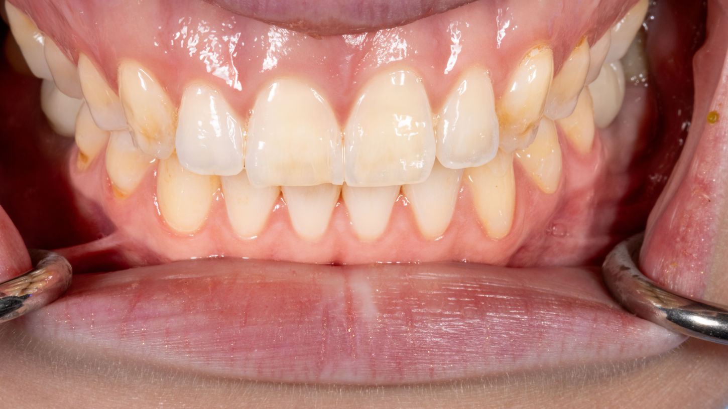
A single discolored front tooth can stand out immediately because the eye naturally focuses on the center of the smile. This indirect veneer case at SOL Dental Arts in Maspeth, Queens is designed to improve the appearance of one dark or mismatched tooth while maintaining harmony with the adjacent teeth. Single-tooth esthetic dentistry requires especially careful shade planning, contour control, and material selection so the result blends naturally instead of appearing flat or artificial. An indirect veneer can be an effective option when the goal is a refined, stable, and lifelike correction of one discolored tooth in the smile zone.
Evaluation of single-tooth discoloration
Indirect veneer treatment planning
Shade and contour integration with adjacent teeth
Final esthetic refinement
When one front tooth is significantly darker or different in appearance, an indirect veneer can provide a controlled esthetic correction with strong blending potential.
Q1. Why would one tooth need a veneer when the others do not?
Because a single tooth can sometimes discolor or differ from the rest of the smile enough to require isolated esthetic treatment.
Q2. Is matching one front tooth difficult?
Yes. Single-tooth cases require careful planning because asymmetry is very noticeable.
Q3. Can this still look natural?
Yes, when shade, translucency, and contour are handled carefully.


















