Cosmetic Bonding for Centrals and Laterals in Maspeth, Queens
Cosmetic Bonding for Centrals and Laterals
Cosmetic Bonding - Centrals & Laterals
When the central and lateral incisors look uneven in shape or proportion, the entire smile can lose harmony. This cosmetic bonding case shows how front tooth bonding can improve symmetry, soften irregularities, and enhance smile design with a conservative, enamel-preserving approach.


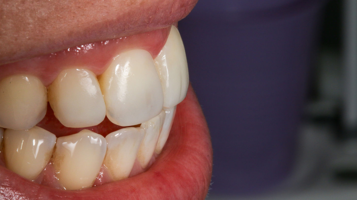
When the central and lateral incisors appear uneven in shape, edge position, or overall proportion, the entire smile can lose harmony. This cosmetic bonding case at SOL Dental Arts in Maspeth, Queens focuses on improving the appearance of the upper front teeth with a conservative, enamel-preserving approach. Cosmetic bonding can be used to soften irregularities, rebuild contour, improve symmetry, and create a smoother transition between the central and lateral incisors. The objective is to enhance the smile without making the restorations look bulky or artificial. By carefully evaluating tooth width, length, facial line angles, and polish, cosmetic bonding can deliver a natural-looking improvement that blends with the surrounding dentition. This type of case is especially valuable for patients who want a meaningful esthetic upgrade while maintaining a minimally invasive philosophy.
Esthetic evaluation of centrals and laterals
Conservative bonding to improve shape and contour
Symmetry refinement across the upper front teeth
Final finishing and polishing
Bonding is often a strong option when the issue is related to contour, proportion, or minor asymmetry rather than severe structural damage.
Q1. Can bonding change tooth shape?
Yes. Bonding is commonly used to improve edges, contours, and proportions in the smile zone.
Q2. Is bonding permanent?
Bonding is durable but may need maintenance or replacement over time depending on wear, habits, and bite.
Q3. Will bonding look natural?
When properly shaped and polished, bonding can blend very naturally with adjacent teeth.




















