Full Smile Rehabilitation & Bite Reconstruction | Maspeth Queens
Full Smile Rehabilitation and Bite Reconstruction
Full Smile Rehabilitation and Bite Reconstruction
Comprehensive restorative and esthetic treatment designed to rebuild the smile and improve bite function.


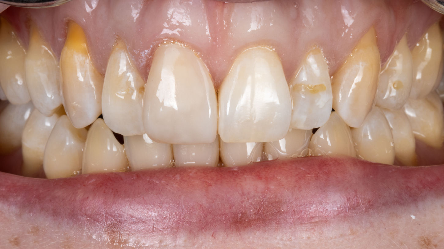
This full smile rehabilitation and bite reconstruction case at SOL Dental Arts in Maspeth, Queens reflects comprehensive planning aimed at improving both esthetics and functional stability. When bite disharmony, wear, old restorations, or generalized smile concerns are all present together, a broader reconstructive approach is often needed. The objective is to rebuild the smile in a way that supports comfort, appearance, and long-term function rather than simply correcting isolated cosmetic details. These cases are among the most important to explain well online because they demonstrate the practice’s ability to think beyond single-tooth treatment and coordinate a full restorative vision.
Comprehensive bite and esthetic evaluation
Full-smile rehabilitation planning
Restorative reconstruction and refinement
Functional and esthetic finishing
When multiple functional and cosmetic issues overlap, bite reconstruction and full-smile rehabilitation can offer a more predictable long-term solution than piecemeal treatment.
Q1. What is bite reconstruction?
It is a restorative approach used to improve how the teeth meet and function when the bite has become compromised.
Q2. Is this mainly cosmetic treatment?
No. These cases usually combine esthetic and functional goals.
Q3. Why explain these cases in detail on the website?
Because they show the difference between single-tooth cosmetic work and comprehensive dental rehabilitation.


















