Post-Braces Smile Refinement with Cosmetic Bonding | Maspeth Queens
Post-Braces Smile Refinement with Bonding
Post-Braces Smile Refinement with Bonding
Final esthetic refinement after orthodontic treatment using conservative cosmetic bonding.


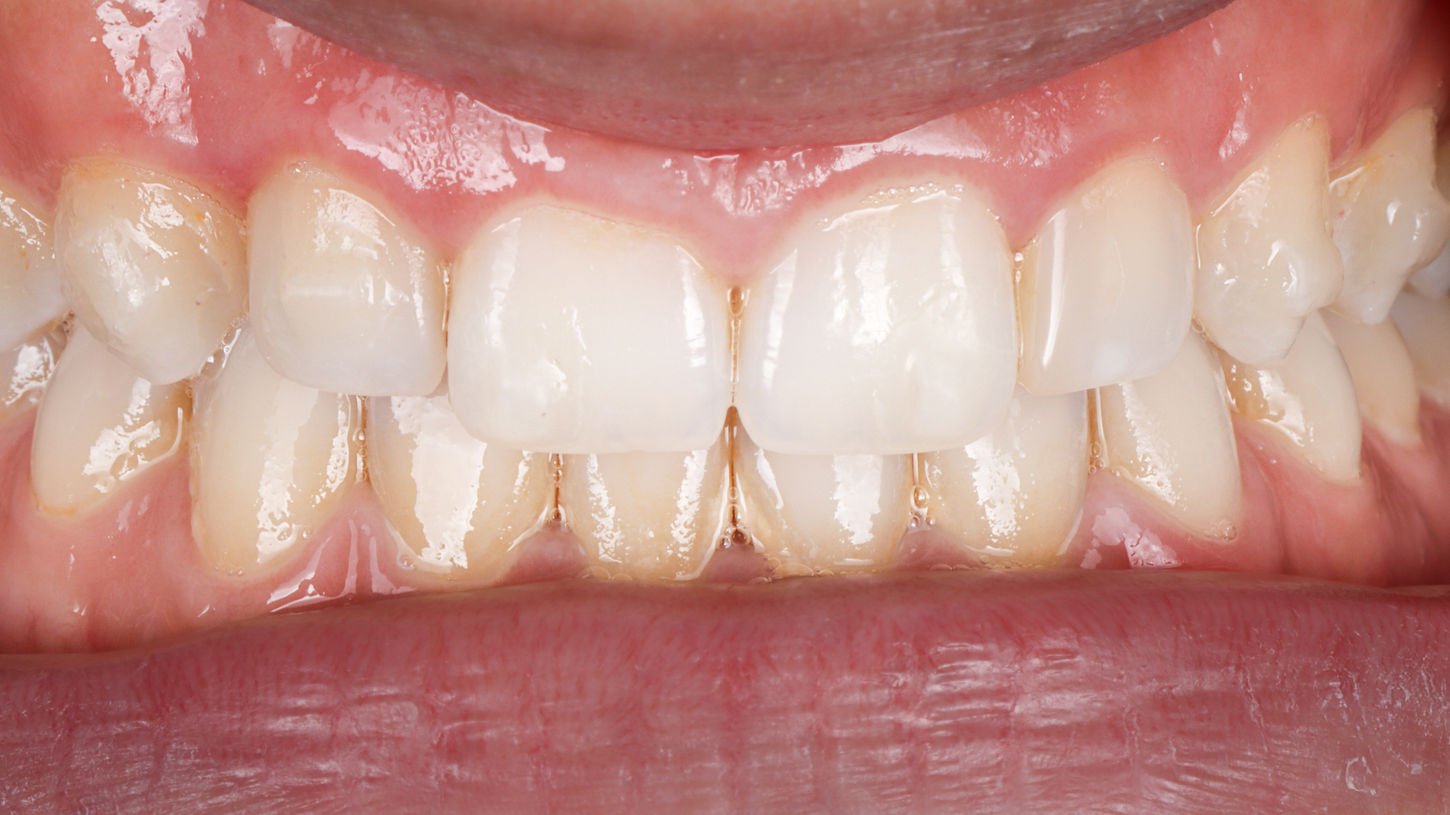
Orthodontic treatment can create excellent alignment, but final esthetic refinement is sometimes needed to complete the smile. This post-braces smile refinement case at SOL Dental Arts in Maspeth, Queens uses conservative cosmetic bonding to improve tooth shape, contour, and overall smile polish after orthodontic treatment. In these cases, the teeth may be straight but still benefit from subtle enhancement to address small asymmetries, edge wear, spacing effects, or proportion issues. Post-orthodontic bonding is a valuable option for patients who want a finished, natural-looking result without moving into more aggressive dentistry. With careful smile-zone planning, the outcome can feel polished, balanced, and true to the patient’s features.
Post-orthodontic esthetic evaluation
Conservative bonding for final smile refinement
Edge and contour enhancement
Final polish and smile balancing
After braces, patients sometimes want the teeth to look not only straight, but more complete, harmonious, and esthetically refined.
Q1. Why would I need bonding after braces?
Braces move teeth, but they do not change tooth anatomy. Bonding can improve shape and proportion after alignment is complete.
Q2. Is post-braces bonding common?
Yes. It is a common option for patients who want final esthetic refinement.
Q3. Does this damage the teeth?
In many cases, the approach is conservative and enamel-preserving.












