top of page

Replace Failing Bonding with Composite Veneer | Maspeth Queens

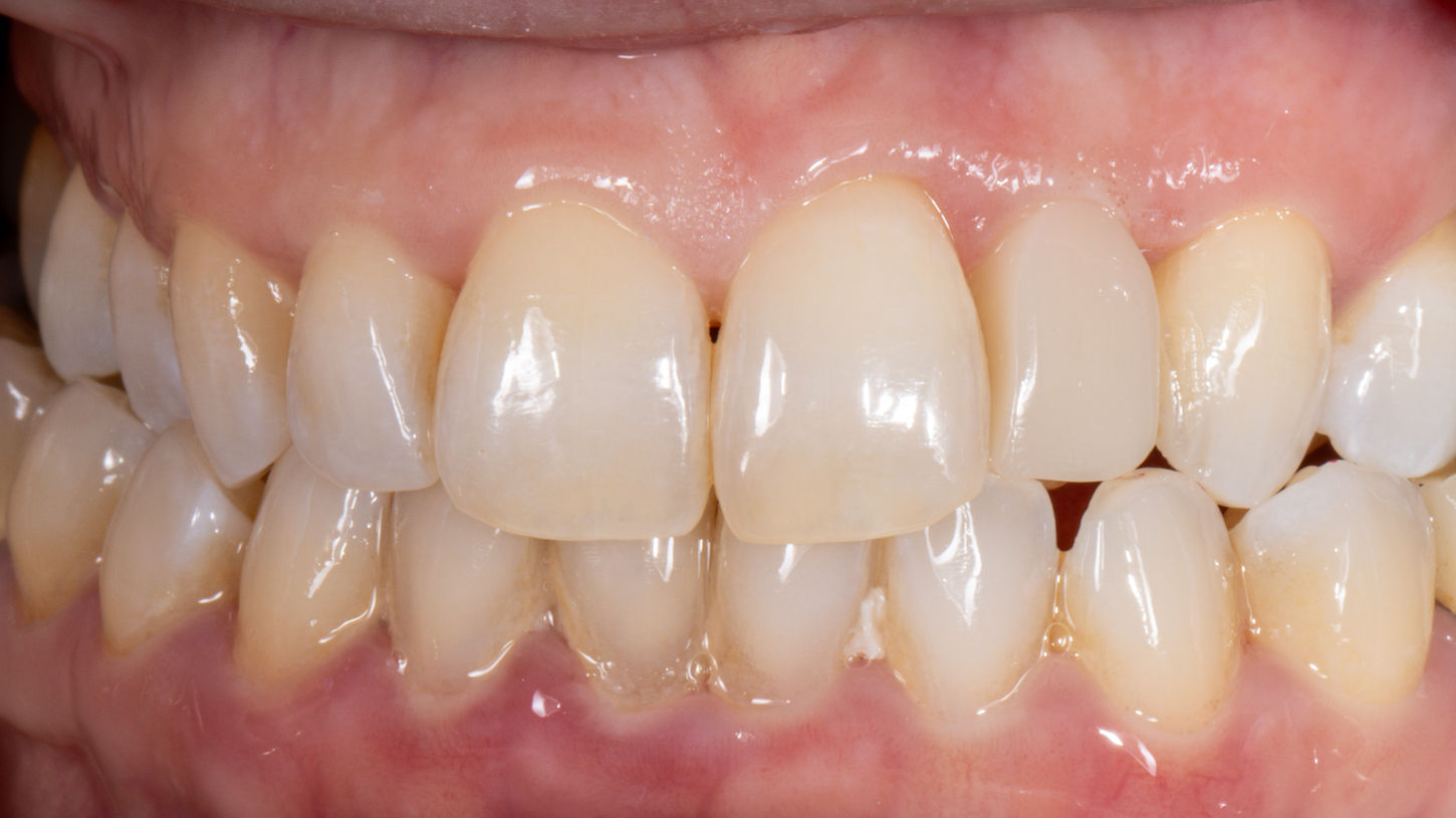
Composite Veneer Restoration for Failing Bonding

Replace Failing Bonding with Composite Veneer

Case focused on upgrading worn or failing bonding with a more refined and natural-looking composite veneer.

IMG_8157.jpg
composite-veneer-7-a-case-of-failing-bonding
bottom of page