Single Chipped Tooth Repair | Cosmetic Bonding in Maspeth Queens
Single Chipped Tooth Repair with Cosmetic Bonding
Single Chipped Tooth Repair with Bonding
Simple bonding repair for a chipped front tooth designed to restore shape, edge contour, and natural esthetics.
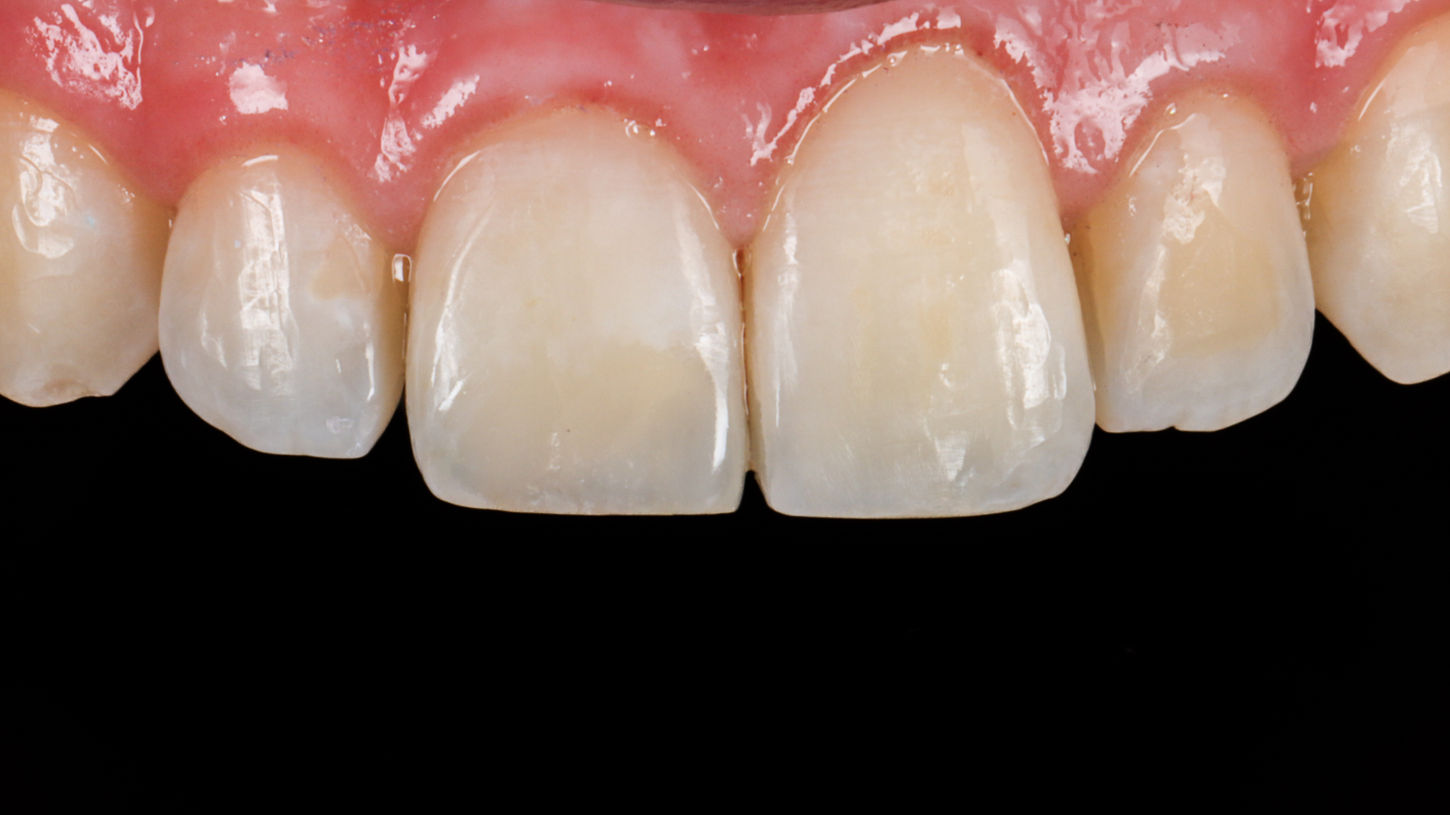
See how cosmetic bonding can restore a single chipped tooth with a smooth, natural-looking finish. At SOL Dental Arts in Maspeth, Queens, treatment is designed to improve shape, polish, and function in a minimally invasive visit.


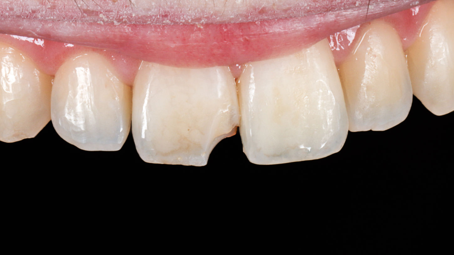
A chipped front tooth may look like a small problem, but even minor edge damage can affect smile symmetry, light reflection, and overall confidence. This single chipped tooth repair case at SOL Dental Arts in Maspeth, Queens shows how cosmetic bonding can restore natural contour, edge definition, and polish in a conservative manner. The objective in this type of treatment is to make the repair disappear into the smile by rebuilding the tooth with careful shape, texture, and shade integration. Single-tooth cosmetic bonding is often one of the most efficient ways to correct small front-tooth defects while preserving healthy enamel. For patients who want a clean, natural-looking repair without extensive dentistry, this is often an excellent option.
Evaluation of edge fracture / chip
Conservative cosmetic bonding repair
Contour and incisal edge refinement
Final polish for natural light reflection
When only a limited portion of the front tooth is damaged, bonding often offers a simple and highly conservative repair option.
Q1. Can a chipped front tooth be fixed without a veneer?
Yes. Many minor chips can be repaired with cosmetic bonding.
Q2. Will the repaired edge look natural?
With careful shaping and polishing, the repair can blend very naturally with the surrounding tooth.
Q3. Is bonding good for small chips?
Yes. Bonding is commonly used for minor anterior edge defects.








