Smile Refinement with Veneers & Whitening | Maspeth Queens
Smile Refinement with Veneers and Whitening
Smile Refinement with Veneers and Whitening
Cosmetic smile enhancement combining veneer treatment and whitening for a brighter, more balanced result.


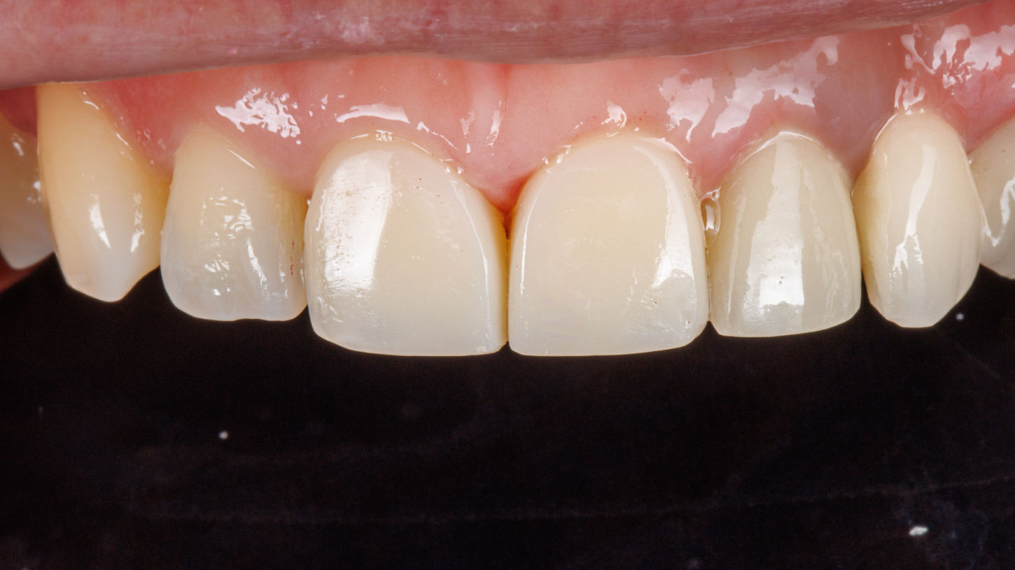
This smile refinement case at SOL Dental Arts in Maspeth, Queens combines veneers and whitening to improve both tooth form and overall shade in a balanced, natural-looking way. When a patient wants more than bleaching alone can provide, but still wants a conservative esthetic philosophy, the combination of whitening and veneer-style refinement can produce a brighter, more harmonious smile. The goal is to improve color, contour, and symmetry together while avoiding an overly opaque or artificial appearance. This is especially useful for patients who want a polished cosmetic upgrade with controlled, high-end esthetics.
Smile analysis for color and shape concerns
Whitening / bleaching component
Veneer-based contour refinement
Final esthetic balancing
When both shade and tooth anatomy are contributing to esthetic concerns, combining whitening and veneers can create a more complete result.
Q1. Why combine whitening with veneers?
Because whitening improves shade, while veneers can improve shape, proportion, and visible asymmetries.
Q2. Does this always mean full-mouth treatment?
Not necessarily. The scope depends on the individual smile design plan.
Q3. Can the result still look natural?
Yes. Conservative esthetic planning is specifically intended to avoid an overdone appearance.
















