Ultrathin Veneers for Peg Lateral Teeth | Maspeth Queens Cosmetic Dentist
Ultrathin Veneers for Peg Lateral Teeth in Maspeth, Queens
Ultra-Thin Composite Veneers for Small Laterals
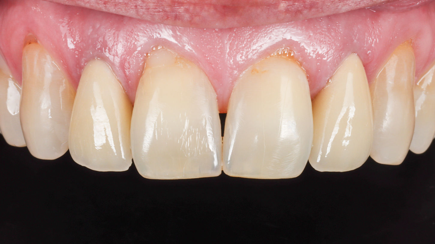
This case features ultra-thin composite veneers for small lateral incisors to improve proportions and smile harmony. SOL Dental Arts in Maspeth, Queens focuses on conservative cosmetic dentistry with natural contours and balanced aesthetics.


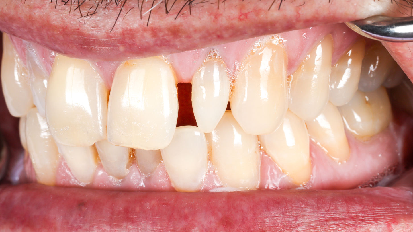
Small lateral incisors can disrupt smile proportions and make the front teeth appear uneven, even when the rest of the smile is healthy and well aligned. This ultra-thin composite veneer case at SOL Dental Arts in Maspeth, Queens demonstrates a conservative cosmetic dentistry solution designed to improve width-to-length ratio, enhance symmetry, and create a more natural transition across the smile. By using ultra-thin additive composite, treatment can often be completed with minimal removal of healthy tooth structure. The result is a subtle yet meaningful esthetic improvement that preserves enamel while refining shape, contour, and smile balance. This is an excellent option for patients with undersized lateral incisors who want natural-looking enhancement without over-treatment.
Smile design planning for undersized lateral incisors
Ultra-thin additive composite veneer treatment
Proportion and symmetry refinement
Final contouring and polishing
Ultra-thin composite veneers work well when the primary issue is tooth size and proportion rather than major structural damage.
Q1. Are ultra-thin composite veneers the same as porcelain veneers?
No. Composite and porcelain are different materials, though both may be used to improve shape and esthetics.
Q2. Do small laterals always need veneers?
Not always. Treatment depends on anatomy, smile goals, and whether bonding or veneers is more appropriate.
Q3. Is this a conservative option?
Yes. Ultra-thin additive treatment is often chosen specifically to preserve healthy tooth structure.



















