top of page
Create Your First Project
Start adding your projects to your portfolio. Click on "Manage Projects" to get started
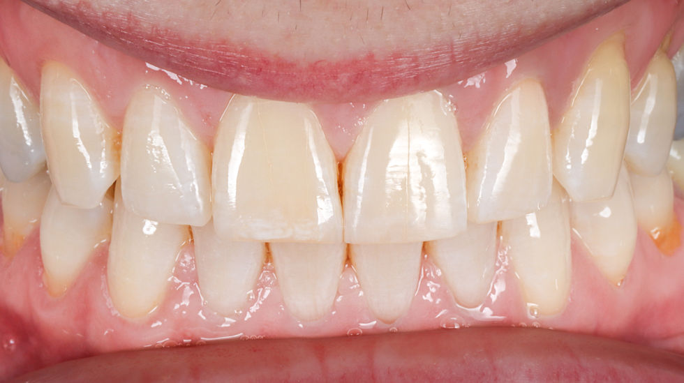
Failing Bonding Repair & Replacement (Maspeth, Queens)
SOL Dental Arts presents recently completed Repair or replace compromised bonding to restore aesthetics and function with careful shade matching and high-polish composites.























