top of page
Create Your First Project
Start adding your projects to your portfolio. Click on "Manage Projects" to get started
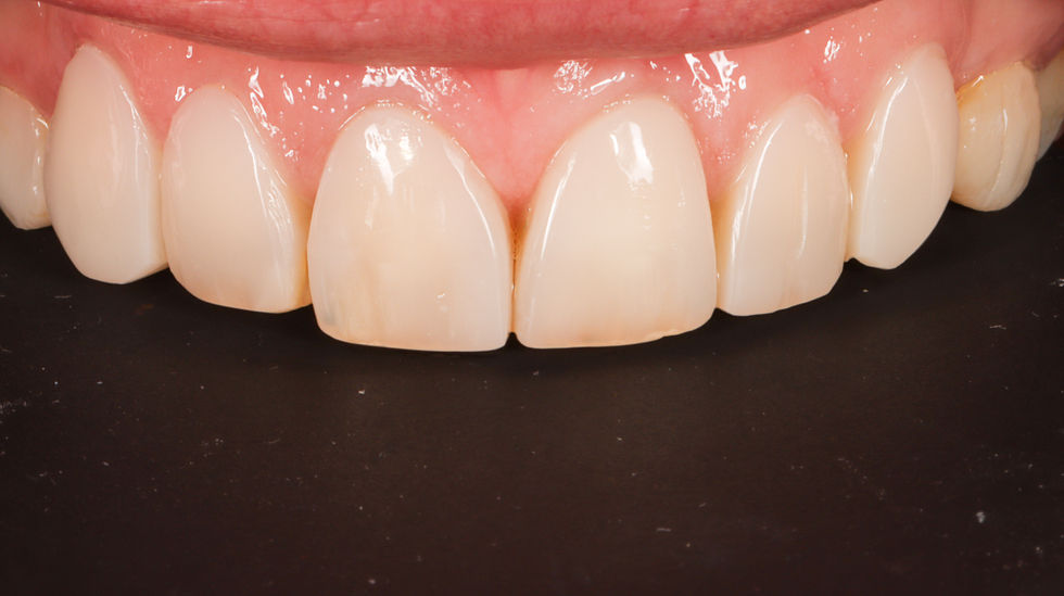
Full Smile Rehabilitation & Bite Reconstruction (Maspeth, Queens)
SOL Dental Arts proudly presents Comprehensive smile rehabilitation restoring comfort, function, and aesthetics—planned for long-term stability and a confident smile.




















bottom of page


