top of page
Create Your First Project
Start adding your projects to your portfolio. Click on "Manage Projects" to get started
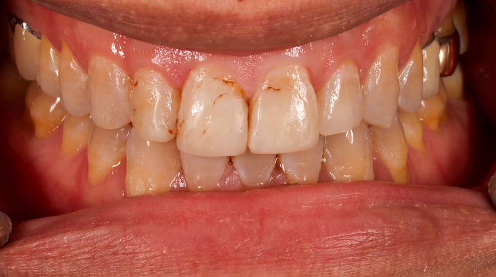
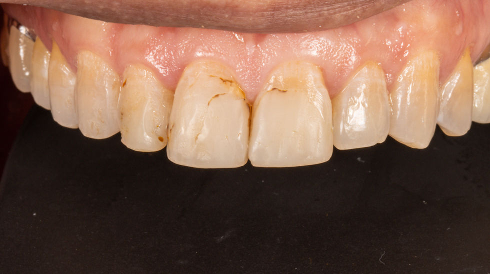
Ultra-Thin Composite Veneers for Small Lateral Incisors in Maspeth, Queens
SOL Dental Arts proudly presents its latest project featuring ultra-thin composite veneer case designed to enhance small lateral incisors at SOL Dental Arts in Maspeth, Queens—conservative smile refinement with natural proportions.


















bottom of page


