top of page
Create Your First Project
Start adding your projects to your portfolio. Click on "Manage Projects" to get started
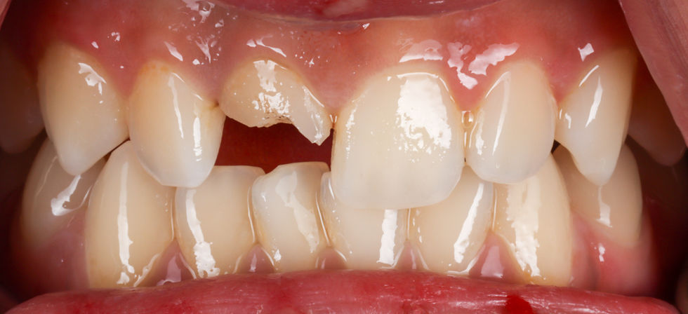
Emergency Dentistry - Composite Veneer - Minimally Invasive
Introducing the latest project by SOL Dental Arts, a leading provider of General & Cosmetic Dentistry services in Maspeth, Queens. Their recent project showcases their expertise in Emergency Dentistry, Composite Veneer, and Minimally Invasive procedures, reflecting their commitment to high-quality and innovative dental care. Visitors can expect top-notch services and exceptional results from this reputable cosmetic dentist.












bottom of page


