top of page
Create Your First Project
Start adding your projects to your portfolio. Click on "Manage Projects" to get started
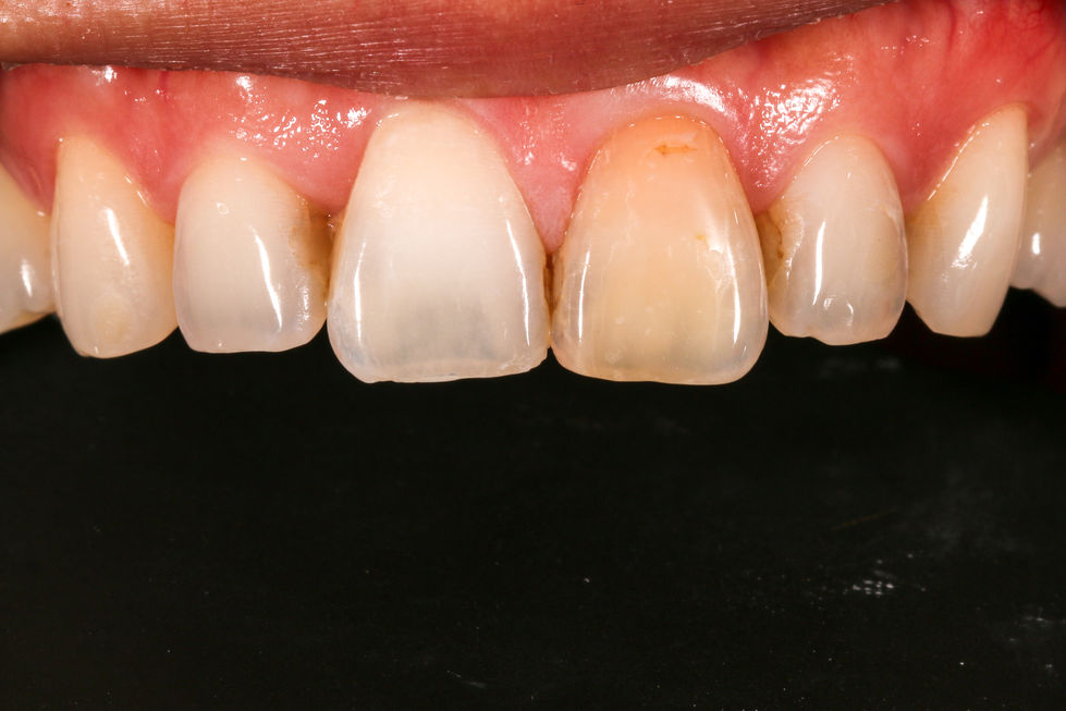
Indirect Veneers - Single Discolored Tooth
SOL Dental Arts recently completed a specialized cosmetic dentistry project enhancing a single discolored tooth using custom indirect veneers, showcasing our commitment to natural aesthetics and precise dental craftsmanship. Located in the heart of Maspeth, Queens, we blend advanced techniques with personalized care to restore confident, radiant smiles.


























bottom of page


