top of page
No Collections Here
Sort your projects into collections. Click on "Manage Collections" to get started
Our Work: Cosmetic & Restorative Dentistry in Maspeth, Queens
Explore real patient treatment results from SOL Dental Arts in Maspeth, Queens. Our work includes cosmetic bonding, veneers, implant restorations, smile rehabilitation, and other conservative aesthetic and restorative solutions designed to improve function, symmetry, and long-term oral health.


Ultrathin Veneers - Peglateral (Small Lateral) Treatment
SOL Dental Arts is proud to showcase its latest advancement in cosmetic dentistry with the Ultrathin Veneers Peglateral treatment, expertly designed to enhance the appearance of small lateral teeth. Located in the heart of Maspeth, Queens, this innovative procedure reflects our commitment to blending aesthetics and precision for a naturally beautiful smile.


Minimally Invasive Composite Bonding - Concealment of a Dark Central Incisor
SOL Dental Arts proudly presents its latest project featuring Minimally Invasive Composite Bonding to successfully conceal a dark central incisor, showcasing our commitment to gentle, precise cosmetic dentistry. Located in the heart of Maspeth, Queens, our expert team enhances smiles with innovative techniques that preserve natural tooth structure while delivering exceptional aesthetic results.


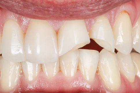
Cosmetic Bonding - A case of a single chipped tooth
Introducing a recent case at SOL Dental Arts, where our expert cosmetic bonding restored a single chipped tooth to seamlessly enhance both function and aesthetics. Located in the heart of Maspeth, Queens, we pride ourselves on delivering precise, natural-looking dental solutions tailored to each patient’s unique smile.


Cosmetic Bonding - A case of two front chipped teeth
SOL Dental Arts recently completed a precise Cosmetic Bonding procedure to restore two front chipped teeth, combining advanced techniques with aesthetic expertise to enhance natural smiles. Located in the heart of Maspeth, Queens, our practice is committed to delivering seamless, durable results that reflect our dedication to both function and beauty.


Indirect Veneers - Single Discolored Tooth
SOL Dental Arts recently completed a specialized cosmetic dentistry project enhancing a single discolored tooth using custom indirect veneers, showcasing our commitment to natural aesthetics and precise dental craftsmanship. Located in the heart of Maspeth, Queens, we blend advanced techniques with personalized care to restore confident, radiant smiles.


Gingival Prophylaxis and Bleaching
SOL Dental Arts proudly presents its latest project showcasing advanced Gingival Prophylaxis and Bleaching treatments, designed to enhance oral health and brighten smiles in the heart of Maspeth, Queens. Combining expert care with cutting-edge techniques, this project reflects our commitment to delivering exceptional cosmetic dentistry services tailored to each patient’s needs.


Smile Refresh - Composite Bonding - Full Smile Space Closure
SOL Dental Arts proudly presents the Smile Refresh project, showcasing expert composite bonding techniques to achieve full smile space closure with natural, lasting results. Located in the heart of Maspeth, Queens, our cosmetic dentistry services combine precision and artistry to enhance your smile with confidence and care.


Smile Rehabilitation for a Small & Missing Lateral Incisor in Maspeth, Queens
At SOL Dental Arts, we recently completed a smile rehabilitation case addressing a small and missing lateral incisor by expertly combining a Maryland bridge with composite bonding, restoring both function and aesthetics. This tailored approach exemplifies our commitment to delivering seamless, natural-looking results for patients seeking comprehensive cosmetic dentistry in Maspeth, Queens.


Composite Bonding Veneers for Discolored Central Teeth in Maspeth, Queens
SOL Dental Arts proudly presents its recent Smile Enhancement project, featuring advanced composite bonding veneers to effectively restore and brighten discolored central teeth. Located in the heart of Maspeth, Queens, this case exemplifies our commitment to combining aesthetic excellence with personalized cosmetic dental care.


Ultra-Thin Composite Veneers for Small Lateral Incisors in Maspeth, Queens
SOL Dental Arts recently showcased a transformative case featuring Ultra-thin Composite Veneers to enhance small lateral incisors, exemplifying their commitment to delivering natural, minimally invasive cosmetic dental solutions in the heart of Maspeth, Queens. This project highlights their expertise in blending artistry and advanced techniques to restore confident, radiant smiles with precision and care.


Full Mouth Bonding - Minimally Invasive Additive Procedure - A case of Mal-shaped Teeth
SOL Dental Arts proudly presents its latest full mouth bonding project, a minimally invasive additive procedure expertly designed to transform mal-shaped teeth while preserving natural enamel. Located in the heart of Maspeth, Queens, our cosmetic dentistry approach combines advanced techniques with personalized care to enhance both function and aesthetics seamlessly.


Gingival Graft Treatment for Canine Recession in Maspeth, Queens
SOL Dental Arts proudly presents its recent periodontal gingival graft treatment addressing a challenging case of canine recession, demonstrating advanced cosmetic and general dentistry expertise in Maspeth, Queens. This specialized procedure exemplifies our commitment to restoring dental health and enhancing smiles through precise, patient-focused care.


Composite Veneer Restoration for Tooth #7 (Failing Bonding) in Maspeth, Queens
SOL Dental Arts proudly presents the latest restoration of Composite Veneer #7, expertly addressing a challenging case of failing bonding to restore both function and aesthetic appeal. This project exemplifies our commitment to precision and patient-centered cosmetic dentistry in the heart of Maspeth, Queens.


Severe Front Tooth Trauma Repair with Minimally Invasive Bonding (Maspeth, Queens)
SOL Dental Arts proudly presents Conservative composite bonding to restore fractured front teeth with natural contours, shade matching, and strong bite function in Maspeth, Queens.


Full Smile Rehabilitation & Bite Reconstruction (Maspeth, Queens)
SOL Dental Arts proudly presents Comprehensive smile rehabilitation restoring comfort, function, and aesthetics—planned for long-term stability and a confident smile.


Bioclear Black Triangle Closure: Smile Transformation (Maspeth, Queens)
SOL Dental Arts proudly presents iMinimally invasive Bioclear technique to close black triangles, improve gumline aesthetics, and create smooth, natural-looking tooth shape.


Lower Teeth Black Triangle Closure with Bioclear (Maspeth, Queens)
SOL Dental Arts proudly presents Lower anterior black triangles closed using Bioclear composite to improve spacing, symmetry, and cleanable contours without aggressive drilling.


Failing Bonding Upgrade: Natural Smile Enhancement (Maspeth, Queens)
SOL Dental Arts proudly presents Replacement of worn or mismatched bonding with modern aesthetic composites for improved color harmony, durability, and refined edges.


Post-Braces Smile Refinement with Cosmetic Bonding (Maspeth, Queens)
SOL Dental Arts is proud to present Subtle reshaping and additive bonding after orthodontics to perfect symmetry, close small gaps, and enhance overall smile proportions.


Failing Bonding Repair & Replacement (Maspeth, Queens)
SOL Dental Arts presents recently completed Repair or replace compromised bonding to restore aesthetics and function with careful shade matching and high-polish composites.


Diastema Closure with Cosmetic Bonding (Maspeth, Queens)
SOL Dental Arts recently completed a successful Conservative space closure using composite bonding to create a balanced smile with natural embrasures and lifelike surface texture.


Cervical Lesion Treatment: Abfraction, Erosion & Decay Treatment (Maspeth, Queens)
SOL Dental Arts proudly presents Restore sensitive or decayed cervical areas with tooth-colored restorations designed for comfort, seal, and long-term protection.


Ultra-Thin Composite Veneers for Small Lateral Incisors in Maspeth, Queens
SOL Dental Arts proudly presents its latest project featuring ultra-thin composite veneer case designed to enhance small lateral incisors at SOL Dental Arts in Maspeth, Queens—conservative smile refinement with natural proportions.


Smile Refinement with Veneers & Whitening (Maspeth, Queens)
SOL Dental Arts proudly presents Whitening plus conservative veneers to improve shade, alignment appearance, and symmetry while maintaining a natural, not “overdone” look.


Full Smile Rehabilitation & Bite Reconstruction - Ultra-thin Veneers & Bleaching(Maspeth, Queens)
At SOL Dental Arts, Brighten and harmonize the smile using bleaching and ultra-thin veneers for high-end aesthetics with minimal tooth reduction.


Facial Trauma Aesthetic Dental Repairs (Maspeth, Queens)
SOL Dental Arts, located in the heart of Maspeth, Queens, proudly presents its latest project focusing on Aesthetic repair after trauma using bonding/restorations to recreate tooth shape, shade, and function with a lifelike finish.


Minor Chipped Tooth Repair with Cosmetic Bonding (Maspeth, Queens)
SOL Dental Arts proudly presents Single-visit chip repair using minimally invasive bonding to restore smooth edges, symmetry, and a natural light reflection pattern.


Full Mouth Rehabilitation | Maspeth Queens | SOL Dental Arts
View full mouth rehabilitation cases from SOL Dental Arts in Maspeth, Queens—comprehensive bite, function, and aesthetic reconstruction tailored to each patient.


Cosmetic Bonding Repairs | Maspeth Queens | SOL Dental Arts
See cosmetic bonding repairs by SOL Dental Arts in Maspeth, Queens—natural-looking composites to restore chips, wear, and old fillings with minimal drilling.


Bioclear Black Triangle Closure | Maspeth Queens | SOL Dental Arts
Explore Bioclear black triangle closure results in Maspeth, Queens—minimally invasive composite techniques to close gaps and improve gumline aesthetics.


Discolored Teeth Treatment | Maspeth Queens | SOL Dental Arts
See minimally invasive solutions for dark or discolored teeth at SOL Dental Arts in Maspeth, Queens—bonding/veneers designed for natural shade and harmony.


Bioclear Bonding Space Closure | Maspeth Queens | SOL Dental Arts
View Bioclear space-closure cases from SOL Dental Arts in Maspeth, Queens—non-invasive composite bonding to close gaps and refine tooth shape.


Ultra-Thin Veneers | Maspeth Queens Cosmetic Dentist
Explore lab-fabricated ultra-thin veneer results at SOL Dental Arts in Maspeth, Queens—high-end aesthetics with conservative enamel preservation.


Bioclear Space Closure | Maspeth Queens | SOL Dental Arts
View Bioclear space-closure cases from SOL Dental Arts in Maspeth, Queens—non-invasive composite bonding to close gaps and refine tooth shape.


Bioclear Space Closure | Maspeth Queens | SOL Dental Arts
View Bioclear space-closure cases from SOL Dental Arts in Maspeth, Queens—non-invasive composite bonding to close gaps and refine tooth shape.


Peg Lateral Treatment | Maspeth Queens | SOL Dental Arts
Explore peg lateral correction in Maspeth, Queens—conservative bonding/veneers to improve size, symmetry, and overall smile harmony.


Pediatric Dental Emergency Bonding | Maspeth Queens
See pediatric emergency composite bonding cases at SOL Dental Arts in Maspeth, Queens—fast, conservative repairs for chips/fractures with natural aesthetics.


Chipped Front Tooth Bonding | Maspeth Queens | SOL Dental Arts
View chipped front tooth repairs using aesthetic composite bonding in Maspeth, Queens—single-visit, minimally invasive improvements with lifelike contours.


Bioclear Space Closure | Maspeth Queens | SOL Dental Arts
View Bioclear space-closure cases from SOL Dental Arts in Maspeth, Queens—non-invasive composite bonding to close gaps and refine tooth shape.


Composite Bonding Veneers | Maspeth Queens | SOL Dental Arts
See composite bonding veneer results in Maspeth, Queens—hand-sculpted, conservative smile enhancement designed for natural shade and texture.


Partial Coverage Crowns (Onlays/Inlays) | SOL Dental Arts Maspeth Queens
Explore minimally invasive partial-coverage crowns, onlays, and inlays by SOL Dental Arts in Maspeth, Queens—designed for natural aesthetics, strength, and longevity


Emergency Composite Veneer | Maspeth Queens | SOL Dental Arts
View emergency composite veneer repairs in Maspeth, Queens—rapid, minimally invasive aesthetic restorations for broken or compromised front teeth.


All-on-X Implants | Full Arch Rehab | Maspeth Queens
Explore All-on-X full-arch rehabilitation cases in Maspeth, Queens—implant-supported smile restoration focused on stability, function, and confident aesthetics.


Implant Crowns | Maspeth Queens Implant Dentist | SOL Dental Arts
View implant crown results from SOL Dental Arts in Maspeth, Queens—precision restorations designed for natural look, comfort, and long-term function.


Smile Makeovers
A collection of images showcasing the transformation of smiles through cosmetic dentistry procedures, including teeth whitening, veneers creation, and dental implants.
bottom of page
